Before/after gallery
Transforming dental problems into sparkling smiles

We create gorgeous, healthy new smiles every day by listening to our patients' wants, analyzing their needs, and making the right recommendations that also fit their budget. The satisfied, happy faces of our patients are our best testimonials.
Zirconia Crown
Manufacturing time: 4–5 days
The patient decided to undergo esthetic and functional correction of his smile, and after detailed diagnostics, zirconia crowns were recommended. This solution improved the color, shape, and proportions of the teeth while ensuring durability and strength of the material. With his new smile, the patient now enjoys greater confidence and security in everyday life.
![]()
![]()
Ceramic Veneers
Manufacturing time: 4–5 days
The patient came to our clinic with the goal of improving the esthetics of her teeth while preserving their natural structure. After diagnostics and bite evaluation, we decided on ceramic veneers – a minimally invasive solution for achieving a uniform, radiant smile. This treatment enhanced the color, shape, and proportions of her teeth, allowing the patient to achieve the desired look with long-lasting results.
![]()
![]()
ALL-ON-4 Method
Manufacturing time: 5–6 days
The patient’s completely edentulous jaw did not prevent him from receiving a beautiful new smile. On the contrary, he gained a smile that, with proper oral hygiene and regular dental check-ups, can last a lifetime. After a detailed analysis of his dental condition and an assessment of bone quality, we decided together on the placement of an ALL-ON-4 fixed solution.
![Case 1: Before the ALL-ON-4 Method]()
![Case 2: A New Smile After Placement]()
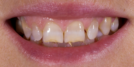
Full Zirconia Crown
Manufacturing time: 4–5 days You said:
The patient came to our clinic dissatisfied with the appearance and size of her teeth, determined to achieve a new smile. At first glance, it was evident that she was suffering from bruxism – the harmful habit of clenching and/or grinding teeth, which affects many people. Although she initially wished for dental veneers, it was explained that due to her bite she was not a suitable candidate, and that zirconia crowns would be the better option.
With this solution, the esthetics of her otherwise strong and healthy teeth were restored, and she can now confidently show her smile without hiding it.
![]()
![]()
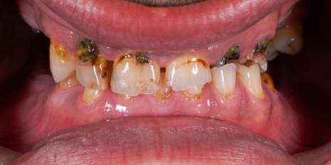
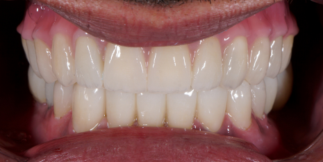
Toronto Premium
Manufacturing time: 5-6 days
Neglecting oral hygiene, poor genetic predisposition, and avoiding regular dental visits had resulted in poor dental health for this patient. Wanting to resolve all his dental problems, and after confirming he was a candidate for dental implants, we developed a treatment plan for the placement of a Toronto dental bridge. With a beautiful new smile and restored oral health, our patient also received a lifetime warranty on the dental implants and a multi-year warranty on the prosthetic work!
![]()
![]()
Schedule a free examination!
Please fill out the following fields so we can schedule your appointment. Your appointment includes a free specialist examination, consultation with a dentist, a personalized treatment recommendation that addresses all your dental needs, and a price estimate that fits your budget.









